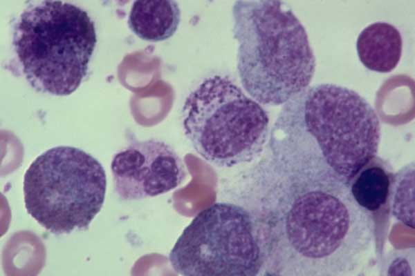
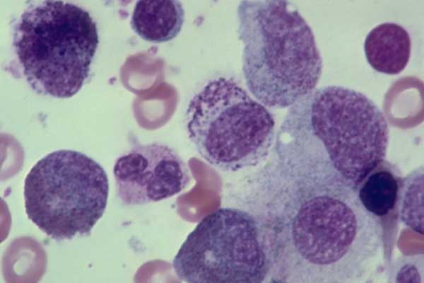
Petele maronii pe corp pot insemna mastocitoza

Mastocitoza este o afecțiune caracterizată prin creșterea numărului și acumularea mastocitelor în diferite organe, cel mai frecvent în piele.
Mastocitoza cutanată este cea mai comuna formă; este reprezentată de urticaria pigmentosa, care se caracterizează prin pete, papule sau placarde rotund-ovalare de culoare roșu-maronii, variind ca număr de la câteva până la mii de leziuni. Leziunile cutanate sunt de obicei distribuite simetric, la nivelul trunchiului și extremităților; de obicei respectă fața, scalpul, palmele și tălpile. Când aceste leziuni sunt agresate prin lovire sau scărpinare, ele devin pruriginoase, se edemațiază și se înroșesc. Aceste modificări poartă numele de semnul lui Darier.
Mastocitoza sistemică se caracterizează prin: înroșire, cefalee, dispnee, wheezing, rinoree, greață, vărsături, diaree și sincopă. Formele cronice generalizate prezintă dureri osoase sau fracturi, stare de rău, iritabilitate, diaree, greață/vărsături, crampe abdominale, sincopă sau angină, reacții anafilactice la înțepătura de insecte (pot fi primul semn de mastocitoză).
Mod de producere: dereglarea apoptozei mastocitelor, factorii genetici (mutații genetice) și factorii de creștere (stimulează înmulțirea mastocitelor, melanocitelor și a producției de pigment – melanina) sunt implicați în apariția mastocitozei. Manifestările sistemice se datorează degranulării mastocitelor și eliberării de mediatori ai inflamației ca histamină, prostaglandine, heparină, proteaze neutre și hidrolaze acide. Simptomele și semnele clinice sunt: cefalee, simptome neuropsihiatrice, înroșire (congestie), amețeală, tahicardie, hipotensiune, sincopă, anorezie, greață, vărsături, dureri abdominale, diaree.
Evoluția bolii: la copii se vindecă spontan. Deși rar, degranularea mastocitară acută poate fi amenințătoare de viață. Nivelul de triptază serică și intinderea leziunilor cutanate sunt factori care prezic severitatea episoadelor de activare a mastocitelor la copiii cu mastocitoză. Adulții și adolescenții cu mastocitoză au risc crescut să facă forme persistente de mastocitoză și să prezinte afectare sistemică. Mastocitoza sistemică debutată la adulți are un risc de 30% de a se maligniza, spre deosebire de 7% la adolescenți.
Tratamentul este conservator și simptomatic, deoarece în general prognosticul mastocitozei cutanate este excelent. Pacienții sunt sfătuiți să evite agenții medicamentoși care pot produce eliberare de histamină ca: aspirina, AINS, codeina, morfina, alcoolul, thiamina, chinina, opiaceele, procaina, dextran, polimixina B, scopolamina și D-Tubocurarina.
Dietă: se vor evita alimentele care induc eliberare de histamină: salicilați, peste, fructe de mare, alcool, condimente, brânzeturi, băuturi calde etc. Se vor evita stimulii fizici ca: stres emoțional, temperaturile extreme, efortul fizic, toxine bacteriene, înțepăturile de insecte, scărpinatul sau traumatizarea leziunilor existente.
Antihistaminicele H1 și H2 reduc simptomele cutanate și gastro-intestinale, iar cromoglicatul de sodiu ameliorează simptomele cutanate și sistemice prin stabilizarea membranei mastocitare. Leziunile cutanate pot fi tratate cu corticoizi topici, iar corticoizii sistemici sunt rezervați cazurilor cu ascită, malabsorbție și afectare cutanată severă. Terapia cu imunomodulatori reprezintă viitorul terapeutic al mastocitozei sistemice și cutanate. Epinefrina este rezervată cazurilor de anafilaxie.
Mastocitoza este o afecțiune caracterizată prin creșterea numărului și acumularea mastocitelor în diferite organe, cel mai frecvent în piele.
Mastocitoza cutanată este cea mai comuna formă; este reprezentată de urticaria pigmentosa, care se caracterizează prin pete, papule sau placarde rotund-ovalare de culoare roșu-maronii, variind ca număr de la câteva până la mii de leziuni. Leziunile cutanate sunt de obicei distribuite simetric, la nivelul trunchiului și extremităților; de obicei respectă fața, scalpul, palmele și tălpile. Când aceste leziuni sunt agresate prin lovire sau scărpinare, ele devin pruriginoase, se edemațiază și se înroșesc. Aceste modificări poartă numele de semnul lui Darier.
Mastocitoza sistemică se caracterizează prin: înroșire, cefalee, dispnee, wheezing, rinoree, greață, vărsături, diaree și sincopă. Formele cronice generalizate prezintă dureri osoase sau fracturi, stare de rău, iritabilitate, diaree, greață/vărsături, crampe abdominale, sincopă sau angină, reacții anafilactice la înțepătura de insecte (pot fi primul semn de mastocitoză).
Mod de producere: dereglarea apoptozei mastocitelor, factorii genetici (mutații genetice) și factorii de creștere (stimulează înmulțirea mastocitelor, melanocitelor și a producției de pigment – melanina) sunt implicați în apariția mastocitozei. Manifestările sistemice se datorează degranulării mastocitelor și eliberării de mediatori ai inflamației ca histamină, prostaglandine, heparină, proteaze neutre și hidrolaze acide. Simptomele și semnele clinice sunt: cefalee, simptome neuropsihiatrice, înroșire (congestie), amețeală, tahicardie, hipotensiune, sincopă, anorezie, greață, vărsături, dureri abdominale, diaree.
Evoluția bolii: la copii se vindecă spontan. Deși rar, degranularea mastocitară acută poate fi amenințătoare de viață. Nivelul de triptază serică și intinderea leziunilor cutanate sunt factori care prezic severitatea episoadelor de activare a mastocitelor la copiii cu mastocitoză. Adulții și adolescenții cu mastocitoză au risc crescut să facă forme persistente de mastocitoză și să prezinte afectare sistemică. Mastocitoza sistemică debutată la adulți are un risc de 30% de a se maligniza, spre deosebire de 7% la adolescenți.
Tratamentul este conservator și simptomatic, deoarece în general prognosticul mastocitozei cutanate este excelent. Pacienții sunt sfătuiți să evite agenții medicamentoși care pot produce eliberare de histamină ca: aspirina, AINS, codeina, morfina, alcoolul, thiamina, chinina, opiaceele, procaina, dextran, polimixina B, scopolamina și D-Tubocurarina.
Dietă: se vor evita alimentele care induc eliberare de histamină: salicilați, peste, fructe de mare, alcool, condimente, brânzeturi, băuturi calde etc. Se vor evita stimulii fizici ca: stres emoțional, temperaturile extreme, efortul fizic, toxine bacteriene, înțepăturile de insecte, scărpinatul sau traumatizarea leziunilor existente.
Antihistaminicele H1 și H2 reduc simptomele cutanate și gastro-intestinale, iar cromoglicatul de sodiu ameliorează simptomele cutanate și sistemice prin stabilizarea membranei mastocitare. Leziunile cutanate pot fi tratate cu corticoizi topici, iar corticoizii sistemici sunt rezervați cazurilor cu ascită, malabsorbție și afectare cutanată severă. Terapia cu imunomodulatori reprezintă viitorul terapeutic al mastocitozei sistemice și cutanate. Epinefrina este rezervată cazurilor de anafilaxie.
13 localități din partea de est a Timișului vor beneficia de o rețea nouă de alimentare cu gaze naturale, în valoare de 52 de milioane de lei
Citeşte tot articolul

Citeşte tot articolul

Victor Rebengiuc, Tudor Chirilă, dar şi Lia Savonea, laureaţi ai premiilor Societății Timișoara
Citeşte tot articolul

Citeşte tot articolul

CSM Lugoj a uitat să mai câștige! A cincea înfrângere la rând
Citeşte tot articolul

Citeşte tot articolul

Bătaie cu izuri fotbalistice și de dragoste în Complex. Băiatul unei consiliere din Dumbrăvița, băgat în spital
Citeşte tot articolul

Citeşte tot articolul

Reforma din sănătate și efectele utilizării inteligenței artificiale, dezbătute de ministrul Sănătății, la Timișoara
Test de provocare cu metacolină. Spitalul „Victor Babeș”, singura unitate sanitară din vestul României care a implementat această procedură
Antreprenorii din sănătate își unesc vocile. Prima federație patronală medicală pluridisciplinară cu acoperire națională, membră CONAF
Ambulatorul de Cardiologie al Clinicii ASCAR oferă evaluare completă și îngrijire continuă pentru pacienții cu boli cardiovasculare
Ambulatoriul Spitalului Clinic CF Timișoara, extrem de aglomerat. Peste 17.000 de persoane au beneficiat de investigații gratuite în 2025
Zeci de localități din Timiș nu au medic de familie. Președintele Colegiului Medicilor cere implicarea autorităților
Medicii, afectați de burnout. Dorel Săndesc: ”Contribuie oboseala psihică și impactul psihic al unui mediu nesigur, plin de tensiune, ostil”
Primăria Timișoara cere depunerea Planurilor de gestionare a deșeurilor medicale, obligatorie până la 1 martie 2026
Eficiență în domeniul sanitar! Spitalul MedLife Medici’s Timișoara marchează primul an de existență: un an de performanță, investiții și excelență medicală
Transferul Spitalului CFR de la Timișoara la un nou administrator e așteptată în lunile viitoare. Cel mai probabil la Județean
Problema banilor pentru Institutul Oncologic Timișoara e rezolvată. Alocări până în 2030, timp de implementare suplimentar
La Timișoara va funcționa un centru pentru tratarea AVC, dotat cu aparatură de 30 de milioane de lei
As Tour Timişoara vă propune un circuit de vis în Turcia: Istanbul – Ankara – Cappadocia
Cei mai buni cârnați bănățeni, aleși în cadrul Worschkoschtprob, vor fi stabiliți în acest an la Săcălaz
Art Encounters a lansat catalogul Ștefan Bertalan: În ritmul lumii / In Tune with the Worl
Gașca Zurli, spectacol gratuit susținut la Iulius Town Timișoara, în acest weekend
Descoperiţi bijuteriile Budapestei într-o singură zi, cu As Tour Timişoara
Au început înscrierile pentru Festivalul-Concurs ”Lada cu Zestre”, ediția a XIX-a, 2026
Trenduri online casino în 2026, pe segmentul de sloturi și jocuri de masă
De ce euforia câștigurilor ar trebui temperată atunci când câștigi la jocuri de cazino online: tehnici utile
La Fundația Art Encounters se deschide pe 23 ianuarie expoziția pictorului Radu Oreian, Retinal Vertigo
Weekend-ul copiilor, la Iulius Town: Expoziție educativă de Tarantule și reptile vii și Teatru de Păpuși
Sâmbătă e „Marea Descrăciuneală” la Iulius Town, iar vizitatorii pot pleca acasă cu una dintre decorațiunile LED din brad
Încep înscrierile la unul din cele mai așteptate concursuri populare. Festivalul Gelu Stan a ajuns la ediția a VIII-a
Lotul 2 din reabilitarea căii ferate Caransebeș – Arad avansează semnificativ. Cel de la Timișoara a ajuns la puțin peste 18%
Citeşte tot articolul

Citeşte tot articolul

La UVT va avea loc Timișoara Ideas Fest. Radu Paraschivescu, Marian Voicu, Vlad Petreanu, Moise Guran, Mihai Maci, invitați
Vreți o diplomă MBA? O puteți obține la Universitatea de Vest Timișoara
Patru zile de robotică, tehnologie și creativitate la UVT, în cadrul Open Robotics Intelligent Grid 2025
UVT antrenează echipa de robotică ce va reprezenta România la competiția internațională „FIRST Global Challenge 2025”
Universitatea de Vest Timișoara își face centrală fotovoltaică cu peste 4000 de panouri solare, cu zece milioane de lei
Universitatea de Vest Timișoara bifează un nou top universitar internațional
Universitatea de Vest Timișoara pregătește un program de masterat, Asistență socială militară
Universitatea de Vest urcă o mie de locuri într-un clasament de specialitate
Lucrările de licență și disertație ale absolvenților Facultății de Arte și Design, prezentate la Art Center
La UVT, crește numărul de candidați la programele de masterat, dar scade la licență
Universitatea de Vest Timișoara a primit titlul „ESCI Champion of excellence”
Candidații la un loc la facultate își pot testa aptitudinile vocaționale pe o platformă creată de Universitatea de Vest




















Source URL: https://debanat.ro/2013/02/petele-maronii-pe-corp-pot-insemna-mastocitoza_48438.html








































































