Exista o limita pana la care incercam sa salvam un dinte

Există o limită până la care trebuie să încercăm să salvăm un dinte. Tot ceea ce trece de această limită face mai mult rău și va crește costurile pentru a repara ceea ce de fapt noi credeam că salvăm.
De multe ori vrem cu disperare să auzim un anumit răspuns, căutăm medicul care ne promite ceea ce ne dorim, dar ceea ce omite să ne spună acel medic este că soluția problemei noastre este una de scurtă durată și ne menține o continuă infecție în corp.
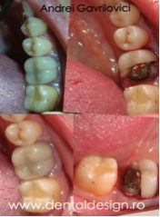
Imaginea de mai sus prezintă un dinte cu o coroniță de ceramică pe zirconiu (unul din cele mai scumpe materiale). Pacienta ne-a spus că simte acel dinte sensibil și că o doare tot timpul când mușcă pe el, neputându-l folosi.
Culoarea dintelui era cenușie, deci coronița aceea scumpă, care ar fi trebuit să nu se deosebească de ceilalți dinți, nu mai reușea să-și îndeplinească funcția. Oricine și-ar putea da seama că ceva este în neregulă cu dintele respectiv, așa că am făcut o radiografie și am văzut care este cauza durerii.
În dreptul săgeții se vede cum pivotul a perforat rădăcina dintelui, în această situație impunându-se extracția. Pacientei i s-a explicat care este cauza durerilor la dintele respectiv și că acesta nu mai poate fi salvat și a înțeles că extracția este cea mai bună variantă de tratament.
Menționăm că pacienta a venit să ceară o a doua părere, după ce i s-a propus efectuarea unei rezecții apicale (realizarea unui orificiu în os și prin acea gaură, tăierea vârfului rădăcinilor) ca tratament pentru a salva dintele respectiv.
Împreună am decis că dintele respectiv nu mai poate fi păstrat, deoarece menține o permanentă infecție în organism, nu poate fi folosit în masticație deoarece este fracturat, iar o așa-zisă încercare de a-l salva printr-o rezecție apicală nu ar face decât să ducă la pierderea a și mai mult os necesar unui viitor implant.
Am tăiat coronița și dintele în două bucăți pentru a proteja cât mai mult osul în timpul extracției și am făcut o fotografie pentru a arăta de unde vine culoarea aceea cenușie a dintelui. Degeaba punem o coroniță total fizionomică, cum este cea de ceramică pe zirconiu peste un pivot metalic, deoarece metalul va transpărea prin coronița ceramică, dându-i un aspect neplăcut.
S-a realizat extracția, iar pentru a nu pierde os s-au pus granule de os artificial, astfel nivelul osului va rămâne același ca înainte de extracție, astfel inserarea unui implant va fi mult mai ușoară.
După patru luni, când granulele de os se vor osteointegra, se va insera implantul, iar ulterior se va realiza coronița pe implantul respectiv și pacienta va avea un dinte sănătos de care se va putea folosi.
Astfel încercările de a salva dintele respectiv au luat sfârșit, s-a renunțat la ideea unei rezecții, scutind pacienta de stresul operator și de costurile implicate de această intervenție, iar toată atenția s-a concentrat spre un plan de tratament ce cu siguranță va da rezultate bune în viitor.
Există o limită până la care trebuie să încercăm să salvăm un dinte. Tot ceea ce trece de această limită face mai mult rău și va crește costurile pentru a repara ceea ce de fapt noi credeam că salvăm.
De multe ori vrem cu disperare să auzim un anumit răspuns, căutăm medicul care ne promite ceea ce ne dorim, dar ceea ce omite să ne spună acel medic este că soluția problemei noastre este una de scurtă durată și ne menține o continuă infecție în corp.
Imaginea de mai sus prezintă un dinte cu o coroniță de ceramică pe zirconiu (unul din cele mai scumpe materiale). Pacienta ne-a spus că simte acel dinte sensibil și că o doare tot timpul când mușcă pe el, neputându-l folosi.
Culoarea dintelui era cenușie, deci coronița aceea scumpă, care ar fi trebuit să nu se deosebească de ceilalți dinți, nu mai reușea să-și îndeplinească funcția. Oricine și-ar putea da seama că ceva este în neregulă cu dintele respectiv, așa că am făcut o radiografie și am văzut care este cauza durerii.
În dreptul săgeții se vede cum pivotul a perforat rădăcina dintelui, în această situație impunându-se extracția. Pacientei i s-a explicat care este cauza durerilor la dintele respectiv și că acesta nu mai poate fi salvat și a înțeles că extracția este cea mai bună variantă de tratament.
Menționăm că pacienta a venit să ceară o a doua părere, după ce i s-a propus efectuarea unei rezecții apicale (realizarea unui orificiu în os și prin acea gaură, tăierea vârfului rădăcinilor) ca tratament pentru a salva dintele respectiv.
Împreună am decis că dintele respectiv nu mai poate fi păstrat, deoarece menține o permanentă infecție în organism, nu poate fi folosit în masticație deoarece este fracturat, iar o așa-zisă încercare de a-l salva printr-o rezecție apicală nu ar face decât să ducă la pierderea a și mai mult os necesar unui viitor implant.
Am tăiat coronița și dintele în două bucăți pentru a proteja cât mai mult osul în timpul extracției și am făcut o fotografie pentru a arăta de unde vine culoarea aceea cenușie a dintelui. Degeaba punem o coroniță total fizionomică, cum este cea de ceramică pe zirconiu peste un pivot metalic, deoarece metalul va transpărea prin coronița ceramică, dându-i un aspect neplăcut.
S-a realizat extracția, iar pentru a nu pierde os s-au pus granule de os artificial, astfel nivelul osului va rămâne același ca înainte de extracție, astfel inserarea unui implant va fi mult mai ușoară.
După patru luni, când granulele de os se vor osteointegra, se va insera implantul, iar ulterior se va realiza coronița pe implantul respectiv și pacienta va avea un dinte sănătos de care se va putea folosi.
Astfel încercările de a salva dintele respectiv au luat sfârșit, s-a renunțat la ideea unei rezecții, scutind pacienta de stresul operator și de costurile implicate de această intervenție, iar toată atenția s-a concentrat spre un plan de tratament ce cu siguranță va da rezultate bune în viitor.
Final de poveste în disputa cu primăria? Directorul Direcției de Cultură Timiș scrie despre pasarela pietonală peste Bega
Citeşte tot articolul

Citeşte tot articolul

Victor Rebengiuc, Tudor Chirilă, dar şi Lia Savonea, laureaţi ai premiilor Societății Timișoara
Citeşte tot articolul

Citeşte tot articolul

Final în forță! A treia victorie amicală, urmează cantonamentul din Antalya
Citeşte tot articolul

Citeşte tot articolul

Lugojul se pregătește pentru introducerea unui sistem de smart parking
Citeşte tot articolul

Citeşte tot articolul

Reforma din sănătate și efectele utilizării inteligenței artificiale, dezbătute de ministrul Sănătății, la Timișoara
Test de provocare cu metacolină. Spitalul „Victor Babeș”, singura unitate sanitară din vestul României care a implementat această procedură
Antreprenorii din sănătate își unesc vocile. Prima federație patronală medicală pluridisciplinară cu acoperire națională, membră CONAF
Ambulatorul de Cardiologie al Clinicii ASCAR oferă evaluare completă și îngrijire continuă pentru pacienții cu boli cardiovasculare
Ambulatoriul Spitalului Clinic CF Timișoara, extrem de aglomerat. Peste 17.000 de persoane au beneficiat de investigații gratuite în 2025
Zeci de localități din Timiș nu au medic de familie. Președintele Colegiului Medicilor cere implicarea autorităților
Medicii, afectați de burnout. Dorel Săndesc: ”Contribuie oboseala psihică și impactul psihic al unui mediu nesigur, plin de tensiune, ostil”
Primăria Timișoara cere depunerea Planurilor de gestionare a deșeurilor medicale, obligatorie până la 1 martie 2026
Eficiență în domeniul sanitar! Spitalul MedLife Medici’s Timișoara marchează primul an de existență: un an de performanță, investiții și excelență medicală
Transferul Spitalului CFR de la Timișoara la un nou administrator e așteptată în lunile viitoare. Cel mai probabil la Județean
Problema banilor pentru Institutul Oncologic Timișoara e rezolvată. Alocări până în 2030, timp de implementare suplimentar
La Timișoara va funcționa un centru pentru tratarea AVC, dotat cu aparatură de 30 de milioane de lei
As Tour Timişoara vă propune un circuit de vis în Turcia: Istanbul – Ankara – Cappadocia
Cei mai buni cârnați bănățeni, aleși în cadrul Worschkoschtprob, vor fi stabiliți în acest an la Săcălaz
Art Encounters a lansat catalogul Ștefan Bertalan: În ritmul lumii / In Tune with the Worl
Gașca Zurli, spectacol gratuit susținut la Iulius Town Timișoara, în acest weekend
Descoperiţi bijuteriile Budapestei într-o singură zi, cu As Tour Timişoara
Au început înscrierile pentru Festivalul-Concurs ”Lada cu Zestre”, ediția a XIX-a, 2026
Trenduri online casino în 2026, pe segmentul de sloturi și jocuri de masă
De ce euforia câștigurilor ar trebui temperată atunci când câștigi la jocuri de cazino online: tehnici utile
La Fundația Art Encounters se deschide pe 23 ianuarie expoziția pictorului Radu Oreian, Retinal Vertigo
Weekend-ul copiilor, la Iulius Town: Expoziție educativă de Tarantule și reptile vii și Teatru de Păpuși
Sâmbătă e „Marea Descrăciuneală” la Iulius Town, iar vizitatorii pot pleca acasă cu una dintre decorațiunile LED din brad
Încep înscrierile la unul din cele mai așteptate concursuri populare. Festivalul Gelu Stan a ajuns la ediția a VIII-a
Toate cele trei segmente ale drumului expres Arad – Oradea au contracte semnate pentru execuție
Citeşte tot articolul

Citeşte tot articolul

La UVT va avea loc Timișoara Ideas Fest. Radu Paraschivescu, Marian Voicu, Vlad Petreanu, Moise Guran, Mihai Maci, invitați
Vreți o diplomă MBA? O puteți obține la Universitatea de Vest Timișoara
Patru zile de robotică, tehnologie și creativitate la UVT, în cadrul Open Robotics Intelligent Grid 2025
UVT antrenează echipa de robotică ce va reprezenta România la competiția internațională „FIRST Global Challenge 2025”
Universitatea de Vest Timișoara își face centrală fotovoltaică cu peste 4000 de panouri solare, cu zece milioane de lei
Universitatea de Vest Timișoara bifează un nou top universitar internațional
Universitatea de Vest Timișoara pregătește un program de masterat, Asistență socială militară
Universitatea de Vest urcă o mie de locuri într-un clasament de specialitate
Lucrările de licență și disertație ale absolvenților Facultății de Arte și Design, prezentate la Art Center
La UVT, crește numărul de candidați la programele de masterat, dar scade la licență
Universitatea de Vest Timișoara a primit titlul „ESCI Champion of excellence”
Candidații la un loc la facultate își pot testa aptitudinile vocaționale pe o platformă creată de Universitatea de Vest




















Source URL: https://debanat.ro/2013/04/exista-o-limita-pana-la-care-incercam-sa-salvam-un-dinte_51485.html











































































