Cosmetica dentara vs. estetica dentara
Plecând de la o scurtă discuție despre albirea dentară, mi-am dat seama că se face confuzie între acești doi termeni: cosmetica și estetica dentară. Confuzia nu este răspândită doar în rândul pacienților, ci și în cadrul personalului medical, așa că aș vrea să vorbim astăzi despre ce diferențiază aceste două concepte.
Știm cu toții ce înseamnă cosmetică, atunci când vorbim despre păr, unghii și tratamente faciale, machiaje… Pe un corp uman se aplică o serie de proceduri și materiale menite să îmbunătățească aspectul estetic al persoanei în cauză. Partea cu esteticul (am mai vorbit despre asta și în alte articole) este subiectivă, ține de educație, de era în care trăim, diferă de la o cultură la alta și nu poate fi transpusă în granițe clar conturate. Poate mie mi se pare ceva frumos, dar poate altuia i se pare altceva frumos. Adevărul este diferit de la om la om și frumusețea, știm cu toții, se află în ochiul privitorului.
Poate unora li se pare că un machiaj strident le aduce un beneficiu estetic, altora inelele din nas sau din urechi le fac plăcere privirii, unii își tatuează sprâncenele, altii își măresc buzele. Unii oameni își albesc dinții. Și, așa, am ajuns la dinți.
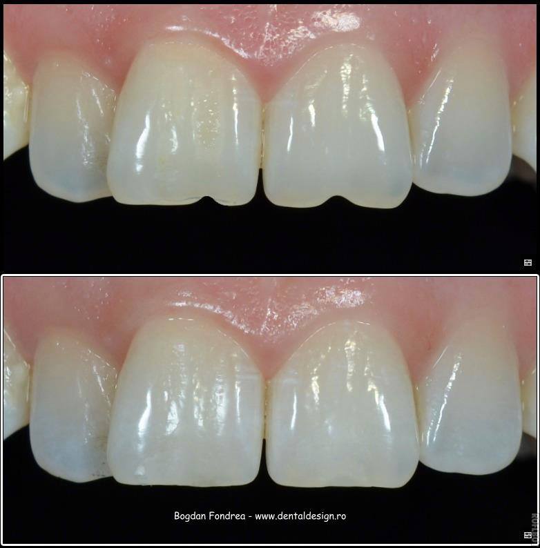
Cosmetica dentară reprezintă o ramură a esteticii dentare ce însumează toate procedurile menite să accentueze ideea subiectivă de frumusețe, uneori trecând granița naturalului. Poate că o culoare a dinților A2-A3 este naturală, dar de multe ori este nesatisfăcătoare și atunci oamenii apelează la cosmetica dentară pentru a îmbunătăți natura și a-și albi dinții. Pentru unele persoane, efectul albirii este insuficient de puternic și nu are durata dorită, așa că apelează la fațetele dentare. Să fim clari, albirea și fațetele dentare (când nu sunt distrucții structurale ale dinților) sunt proceduri cosmetice.
Tot în sfera cosmeticii dentare intră conturarea gingivală, șlefuirea selectivă și egalizarea unor dinți, obturațiile de compozit albe, bijuteriile dentare, rotunjirea formei dinților sau unele tratamente ortodontice. Marea majoritate a tratamentelor cosmetice nu sunt necesare din punct de vedere medical, dar sunt dorite. De multe ori, pacienții mă întreabă dacă au nevoie de albire dentară sau nu? Nu are nimeni nevoie, dar pot dori să facă asta sau nu. De multe ori, Pacienții mă întreabă de câte fațete Lumineers au nevoie? Le spun că nu au nevoie de aceste fațete, dar pot să și le dorească și le dau oglinda să se uite ei, să decidă câte fațete vor dori.
Rezultatul final aduce nu un plus din punct de vedere medical, ci un plus din punct de vedere estetic, subiectiv. Unele tratamente, evident, îmbină partea de cosmetică cu cea medicală. Pot fi cazuri în care fațetele sunt necesare din punct de vedere medical, pot fi cazuri în care șlefuirea selectivă sau modelarea gingivală să fie necesare pentu a îmbunătăți starea de sănătate și funcționalitate, dar dacă se trece de pragul naturalului, de pragul necesarului medical, vorbim despre cosmetica dentară.
Estetica dentară, în schimb, se referă la a îmbina aspectul medical cu cel vizual, prin imitarea și replicarea naturalului. Dacă se tratează o carie cu ajutorul unei obturații de compozit, aceasta să nu fie albă, ci să aibă șanțuri colorate, poate vârfurile ușor tocite, poate să prezinte zone ce mimează fisuri sau colorații. Dacă se fac fațete sau coronițe să fie făcute culoarea și forma naturală, poate ușor ciobite, poate nu aliniate perfect, poate ușor inegale, așa cum e natural să fie, așa cum e funcțional de la caz la caz. Estetica dentară promite o integrare biologică a tratamentului, un rezultat pe termen lung ce se autoîntreține.



Rezultatele obținute prin cosmetică trebuie întreținute în mod special, cele prin estetică se întrețin natural. Rezultatele obținute prin cosmetică sunt pe termen scurt, cele prin estetică, pe termen lung. Și, atunci, de ce tot mai mulți oameni apelează la cosmetica dentară? Răspunsul este simplu, pentru că e mai frumos să ai dinții albi, să ai sânii mari și rotunzi, să ai părul vopsit, să ai buze groase și sprâncene acrcuite, pentru că, de la om la om, de la generație la generație și de la cultură la cultură, frumusețea reprezintă de fiecare dată altceva. Atâta timp cât nu se face o intervenție în detrimentul sănătății, cât timp albirea nu distruge dintele, cât timp fațetele sunt fără slefuire sau doar o minimă conturare, cât timp o carie este tratată corect, este alegerea fiecăruia ce culoare și ce formă are zâmbetul pe care și-l dorește.
Sperând că m-am făcut înțeles, țin să menționez că nu susțin niciuna din cele două aspecte și nu o denigrez nici pe una, nici pe cealaltă. Pacientul e liber să aleagă și atâta timp cât medicul tratează acel pacient conform normelor în vigoare, conform codului deontologic, credințelor personale și profesionale, totul va fi bine.
În primul rând să nu faci rău și doar așa să faci frumos!
Vă doresc un zâmbet minunat!
Plecând de la o scurtă discuție despre albirea dentară, mi-am dat seama că se face confuzie între acești doi termeni: cosmetica și estetica dentară. Confuzia nu este răspândită doar în rândul pacienților, ci și în cadrul personalului medical, așa că aș vrea să vorbim astăzi despre ce diferențiază aceste două concepte.
Știm cu toții ce înseamnă cosmetică, atunci când vorbim despre păr, unghii și tratamente faciale, machiaje… Pe un corp uman se aplică o serie de proceduri și materiale menite să îmbunătățească aspectul estetic al persoanei în cauză. Partea cu esteticul (am mai vorbit despre asta și în alte articole) este subiectivă, ține de educație, de era în care trăim, diferă de la o cultură la alta și nu poate fi transpusă în granițe clar conturate. Poate mie mi se pare ceva frumos, dar poate altuia i se pare altceva frumos. Adevărul este diferit de la om la om și frumusețea, știm cu toții, se află în ochiul privitorului.
Poate unora li se pare că un machiaj strident le aduce un beneficiu estetic, altora inelele din nas sau din urechi le fac plăcere privirii, unii își tatuează sprâncenele, altii își măresc buzele. Unii oameni își albesc dinții. Și, așa, am ajuns la dinți.
Cosmetica dentară reprezintă o ramură a esteticii dentare ce însumează toate procedurile menite să accentueze ideea subiectivă de frumusețe, uneori trecând granița naturalului. Poate că o culoare a dinților A2-A3 este naturală, dar de multe ori este nesatisfăcătoare și atunci oamenii apelează la cosmetica dentară pentru a îmbunătăți natura și a-și albi dinții. Pentru unele persoane, efectul albirii este insuficient de puternic și nu are durata dorită, așa că apelează la fațetele dentare. Să fim clari, albirea și fațetele dentare (când nu sunt distrucții structurale ale dinților) sunt proceduri cosmetice.
Tot în sfera cosmeticii dentare intră conturarea gingivală, șlefuirea selectivă și egalizarea unor dinți, obturațiile de compozit albe, bijuteriile dentare, rotunjirea formei dinților sau unele tratamente ortodontice. Marea majoritate a tratamentelor cosmetice nu sunt necesare din punct de vedere medical, dar sunt dorite. De multe ori, pacienții mă întreabă dacă au nevoie de albire dentară sau nu? Nu are nimeni nevoie, dar pot dori să facă asta sau nu. De multe ori, Pacienții mă întreabă de câte fațete Lumineers au nevoie? Le spun că nu au nevoie de aceste fațete, dar pot să și le dorească și le dau oglinda să se uite ei, să decidă câte fațete vor dori.
Rezultatul final aduce nu un plus din punct de vedere medical, ci un plus din punct de vedere estetic, subiectiv. Unele tratamente, evident, îmbină partea de cosmetică cu cea medicală. Pot fi cazuri în care fațetele sunt necesare din punct de vedere medical, pot fi cazuri în care șlefuirea selectivă sau modelarea gingivală să fie necesare pentu a îmbunătăți starea de sănătate și funcționalitate, dar dacă se trece de pragul naturalului, de pragul necesarului medical, vorbim despre cosmetica dentară.
Estetica dentară, în schimb, se referă la a îmbina aspectul medical cu cel vizual, prin imitarea și replicarea naturalului. Dacă se tratează o carie cu ajutorul unei obturații de compozit, aceasta să nu fie albă, ci să aibă șanțuri colorate, poate vârfurile ușor tocite, poate să prezinte zone ce mimează fisuri sau colorații. Dacă se fac fațete sau coronițe să fie făcute culoarea și forma naturală, poate ușor ciobite, poate nu aliniate perfect, poate ușor inegale, așa cum e natural să fie, așa cum e funcțional de la caz la caz. Estetica dentară promite o integrare biologică a tratamentului, un rezultat pe termen lung ce se autoîntreține.



Rezultatele obținute prin cosmetică trebuie întreținute în mod special, cele prin estetică se întrețin natural. Rezultatele obținute prin cosmetică sunt pe termen scurt, cele prin estetică, pe termen lung. Și, atunci, de ce tot mai mulți oameni apelează la cosmetica dentară? Răspunsul este simplu, pentru că e mai frumos să ai dinții albi, să ai sânii mari și rotunzi, să ai părul vopsit, să ai buze groase și sprâncene acrcuite, pentru că, de la om la om, de la generație la generație și de la cultură la cultură, frumusețea reprezintă de fiecare dată altceva. Atâta timp cât nu se face o intervenție în detrimentul sănătății, cât timp albirea nu distruge dintele, cât timp fațetele sunt fără slefuire sau doar o minimă conturare, cât timp o carie este tratată corect, este alegerea fiecăruia ce culoare și ce formă are zâmbetul pe care și-l dorește.
Sperând că m-am făcut înțeles, țin să menționez că nu susțin niciuna din cele două aspecte și nu o denigrez nici pe una, nici pe cealaltă. Pacientul e liber să aleagă și atâta timp cât medicul tratează acel pacient conform normelor în vigoare, conform codului deontologic, credințelor personale și profesionale, totul va fi bine.
În primul rând să nu faci rău și doar așa să faci frumos!
Vă doresc un zâmbet minunat!
Final de poveste în disputa cu primăria? Directorul Direcției de Cultură Timiș scrie despre pasarela pietonală peste Bega
Citeşte tot articolul

Citeşte tot articolul

Viceprimarul Ruben Laţcău reacționează după apariția unui graffiti cu atac la adresa USR, la Pasajul Solventul
Citeşte tot articolul

Citeşte tot articolul

6!! Transferuri. Claudiu Savianu (19 ani) a semnat cu Politehnica Timișoara
Citeşte tot articolul

Citeşte tot articolul

Universitatea de Vest Timișoara urcă în clasamentul QS Europe University Rankings
Citeşte tot articolul

Citeşte tot articolul

Reforma din sănătate și efectele utilizării inteligenței artificiale, dezbătute de ministrul Sănătății, la Timișoara
Test de provocare cu metacolină. Spitalul „Victor Babeș”, singura unitate sanitară din vestul României care a implementat această procedură
Antreprenorii din sănătate își unesc vocile. Prima federație patronală medicală pluridisciplinară cu acoperire națională, membră CONAF
Ambulatorul de Cardiologie al Clinicii ASCAR oferă evaluare completă și îngrijire continuă pentru pacienții cu boli cardiovasculare
Ambulatoriul Spitalului Clinic CF Timișoara, extrem de aglomerat. Peste 17.000 de persoane au beneficiat de investigații gratuite în 2025
Zeci de localități din Timiș nu au medic de familie. Președintele Colegiului Medicilor cere implicarea autorităților
Medicii, afectați de burnout. Dorel Săndesc: ”Contribuie oboseala psihică și impactul psihic al unui mediu nesigur, plin de tensiune, ostil”
Primăria Timișoara cere depunerea Planurilor de gestionare a deșeurilor medicale, obligatorie până la 1 martie 2026
Eficiență în domeniul sanitar! Spitalul MedLife Medici’s Timișoara marchează primul an de existență: un an de performanță, investiții și excelență medicală
Transferul Spitalului CFR de la Timișoara la un nou administrator e așteptată în lunile viitoare. Cel mai probabil la Județean
Problema banilor pentru Institutul Oncologic Timișoara e rezolvată. Alocări până în 2030, timp de implementare suplimentar
La Timișoara va funcționa un centru pentru tratarea AVC, dotat cu aparatură de 30 de milioane de lei
Cei mai buni cârnați bănățeni, stabiliți în cadrul Worschkoschtprob, vor fi stabiliți în acest an la Săcălaz
Art Encounters a lansat catalogul Ștefan Bertalan: În ritmul lumii / In Tune with the Worl
Gașca Zurli, spectacol gratuit susținut la Iulius Town Timișoara, în acest weekend
Descoperiţi bijuteriile Budapestei într-o singură zi, cu As Tour Timişoara
Au început înscrierile pentru Festivalul-Concurs ”Lada cu Zestre”, ediția a XIX-a, 2026
Trenduri online casino în 2026, pe segmentul de sloturi și jocuri de masă
De ce euforia câștigurilor ar trebui temperată atunci când câștigi la jocuri de cazino online: tehnici utile
La Fundația Art Encounters se deschide pe 23 ianuarie expoziția pictorului Radu Oreian, Retinal Vertigo
Weekend-ul copiilor, la Iulius Town: Expoziție educativă de Tarantule și reptile vii și Teatru de Păpuși
Sâmbătă e „Marea Descrăciuneală” la Iulius Town, iar vizitatorii pot pleca acasă cu una dintre decorațiunile LED din brad
Încep înscrierile la unul din cele mai așteptate concursuri populare. Festivalul Gelu Stan a ajuns la ediția a VIII-a
Publicul e așteptat la concertul „Voices & Visions” susţinut de Orchestra Facultății de Muzică și Teatru
Toate cele trei segmente ale drumului expres Arad – Oradea au contracte semnate pentru execuție
Citeşte tot articolul

Citeşte tot articolul

La UVT va avea loc Timișoara Ideas Fest. Radu Paraschivescu, Marian Voicu, Vlad Petreanu, Moise Guran, Mihai Maci, invitați
Vreți o diplomă MBA? O puteți obține la Universitatea de Vest Timișoara
Patru zile de robotică, tehnologie și creativitate la UVT, în cadrul Open Robotics Intelligent Grid 2025
UVT antrenează echipa de robotică ce va reprezenta România la competiția internațională „FIRST Global Challenge 2025”
Universitatea de Vest Timișoara își face centrală fotovoltaică cu peste 4000 de panouri solare, cu zece milioane de lei
Universitatea de Vest Timișoara bifează un nou top universitar internațional
Universitatea de Vest Timișoara pregătește un program de masterat, Asistență socială militară
Universitatea de Vest urcă o mie de locuri într-un clasament de specialitate
Lucrările de licență și disertație ale absolvenților Facultății de Arte și Design, prezentate la Art Center
La UVT, crește numărul de candidați la programele de masterat, dar scade la licență
Universitatea de Vest Timișoara a primit titlul „ESCI Champion of excellence”
Candidații la un loc la facultate își pot testa aptitudinile vocaționale pe o platformă creată de Universitatea de Vest




















Source URL: https://debanat.ro/2013/11/cosmetica-dentara-vs-estetica-dentara_59682.html








































































